
At Shining Smiles Family Dentistry, we specialize in periodontics in Marietta, providing advanced care for gum disease and overall oral health. Periodontics is a branch of dentistry focused on the prevention, diagnosis, and treatment of gum disease and conditions affecting the supporting structures of your teeth. Healthy gums are the foundation for a beautiful smile, and our experienced team is here to help you maintain and restore gum health for a lifetime of confident smiles.
Periodontics involves the care of the gums, bone, and other structures that support your teeth. Gum disease, or periodontal disease, is a common issue that can range from mild gingivitis to severe periodontitis, which can lead to tooth loss if untreated. Periodontists focus on preventing, diagnosing, and treating gum disease to help preserve your natural teeth and protect your overall oral health.
Our skilled periodontists use the latest techniques to treat gum disease at every stage, restoring gum health and preventing further damage. We emphasize early diagnosis and minimally invasive treatments to preserve your natural smile. Our commitment to excellence makes us a top choice for periodontics in Marietta.

We offer both non-surgical and surgical treatments for gum disease, including scaling and root planing, to remove plaque and tartar from beneath the gums, and periodontal surgery for more severe cases.
If your gums have receded due to gum disease or aging, we offer treatments to restore and protect your gum line.
For patients with significant bone loss, we offer bone grafting to build up the jawbone in preparation for dental implants or other restorative treatments.
After successful treatment, we offer ongoing care to maintain the health of your gums and prevent the recurrence of gum disease.
Gum disease often begins without noticeable symptoms, which is why regular dental checkups are important. However, common signs that may indicate the need for periodontal care include:
If you’re experiencing any of these symptoms, it’s crucial to seek professional evaluation to prevent further complications. At Shining Smiles Family Dentistry, we provide advanced periodontics in Marietta to diagnose and treat gum issues early. With advanced technology and gentle care, we ensure optimal outcomes for your oral health.

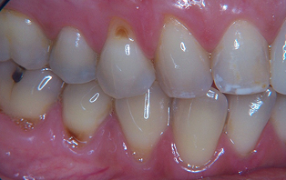
Gum recession with root decay

Severe gum recession and abscess front tooth. Tooth removal was needed

Severe gum recession and root decay molar tooth. Tooth removal was needed

Our experienced team uses the latest technology and techniques to ensure your periodontal care is effective and comfortable. We take the time to understand your needs, develop a personalized treatment plan, and provide ongoing support to help you maintain optimal gum health. With Shining Smiles, you’ll receive compassionate care every step of the way, with a focus on both treatment and prevention.
Where to turn for advanced gum care? At Shining Smiles Family Dentistry, we specialize in periodontics in Marietta to help you fight gum disease and protect your smile. With Shining Smiles, you’ll receive compassionate care every step of the way, with a focus on both treatment and prevention.
If you’re concerned about your gum health or have noticed signs of gum disease, schedule a consultation with us today. At Shining Smiles Family Dentistry, we’re committed to helping you protect your gums and achieve a healthy, beautiful smile for years to come!
A periodontist specializes in diagnosing and treating gum disease and conditions affecting the supporting structures of the teeth. At Shining Smiles, we offer periodontics in Marietta to help preserve your oral health.
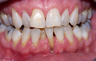
Common signs include bleeding gums, bad breath, gum recession, and loose teeth. If you notice any of these symptoms, it’s time to explore periodontics for proper care.
In its early stages (gingivitis), gum disease can be reversed with professional care and improved oral hygiene. Our periodontics focus on early intervention and long-term prevention.
Most patients benefit from periodontal cleanings every 3–4 months. Our team offering periodontics in Marietta will tailor a maintenance plan based on your unique needs.