
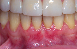
Thin gum, gum recession and frenum pull

Gum graft tunneling technique and frenectomy

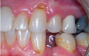
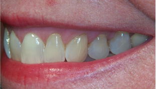
Gum recession and root cavity

Gum graft with tunneling technique

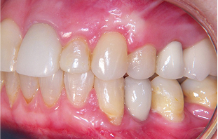
Gum recession with old discolored composite filling on the root

Gum graft with tunneling technique along with old composite filling on the root removed

Severe gum recession, root damage and uneven gum line

Gum grafting with tunneling technique

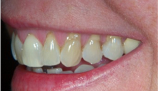
Gummy smile and short teeth

Cosmetic gum lifting/Crown Lengthening